失智症如何預防?早期警訊、灰質白質變化與日常可行方法

認知功能喪失不是正常老化,而是大腦功能逐漸退化的結果。台灣 65 歲以上長者中約每 13 人就有 1 人受到影響。近年研究指出:睡眠品質、血管健康、慢性發炎、大腦的灰質與白質變化,都與神經退化性疾病風險高度相關。本篇將帶你快速掌握認知退化的形成、早期症狀、科學預防方法,以及台北/新北可使用的協助資源。

失智症

一、什麼是神經退化性疾病

認知功能障礙是一組導致記憶、語言、判斷與生活能力下降的症候群。主要類型包含:

路易氏體/帕金森氏病相關失智:伴隨動作變慢、睡眠異常等症狀。

二、大腦認知衰退早期警訊

常見的變化包含:

  • 記憶力下降:容易忘記事情、剛說過的話很快就不記得。
  • 重複提問:同一個問題在短時間內一問再問。
  • 方向感變差:熟悉的路線突然搞不清楚、容易迷路。
  • 語言與反應變慢:說話變少、組織語句需要更久。
  • 情緒波動明顯:易怒、焦慮,或變得沉默、退縮。
  • 生活能力退步:金錢管理、日常事務變得難以處理。

建議若超過任意兩項以上,就應盡速安排認知功能檢測。

✔ 灰質: 負責記憶、判斷與情緒的大腦核心

灰質是大腦處理資訊的「主控台」。
當灰質開始萎縮時,最常見的變化包括:

  • 記憶力下降、反覆問同樣問題(海馬迴變小)
  • 判斷力變差、容易受騙或做錯決定(額葉退化)
  • 說話變少、詞彙變少、語言組織能力下降(顳葉萎縮)
  • 情緒變得敏感、易怒或容易焦慮(情緒中心受損)

灰質萎縮通常是阿茲海默症非常早期的警訊,許多人最先感覺到的,就是「記憶變差」與「情緒不穩」。

✔ 白質:負責大腦訊號傳遞的訊號高速公路

白質就像大腦裡的「訊號高速公路」,讓不同腦區能快速交換訊息。
當白質受損時,身體會出現一些很日常、很明顯的變化:

  • 反應變慢:說話、思考、做決定都需要更久
  • 協調變差:走路不穩、容易跌倒、方向感下降
  • 注意力與情緒控制變弱:容易分心、焦慮、脾氣變大

白質損傷的常見原因包含:
高血壓、血管硬化、長期睡不好、慢性發炎

✔ 灰質+白質一起退化 → 形成失智症

灰質負責內容、白質負責傳遞。當兩者同時退化,就會出現典型認知功能障礙的記憶、語言、情緒與生活功能下降。

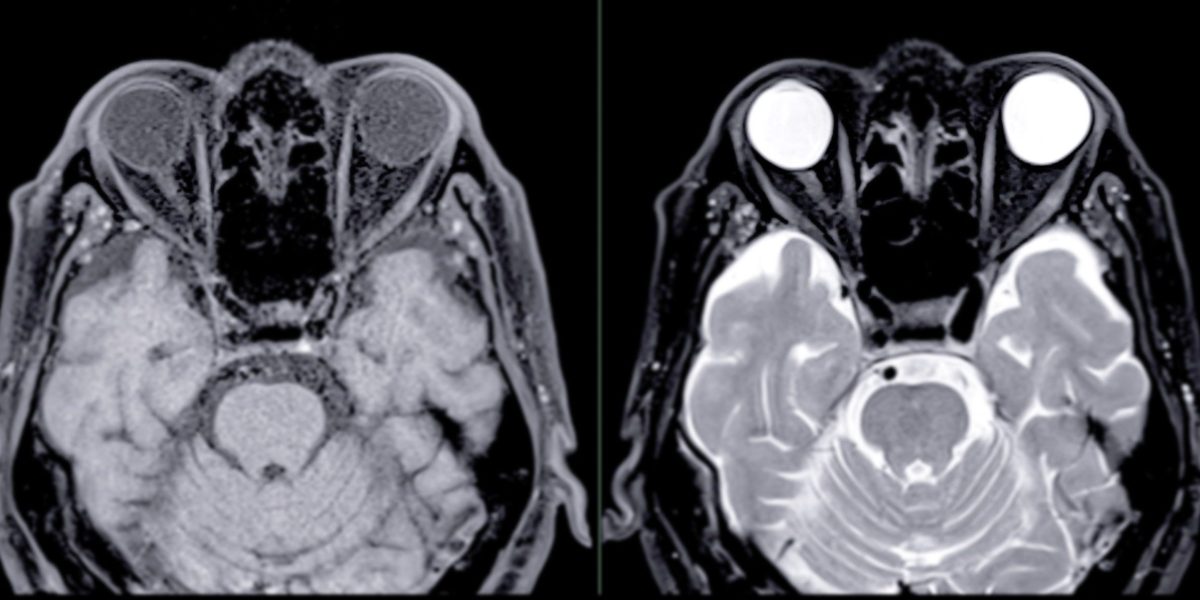
大腦灰白質

四、最新研究整理

五、常見高風險族群

  • 三高、心血管疾病、中風後

  • 長期失眠、睡眠呼吸中止症

  • 久坐缺乏運動、家族病史

  • 生活壓力大的族群

  • 精神、專注力、記憶力明顯退化

壓力大族群

六、重大認知障礙的科學預防方法

1.維持血壓、血脂、血糖穩定

穩定的三高指標能有效預防血管型失智。

2.每週 150 分鐘運動

透過有氧運動增加海馬迴,提升大腦可塑性。

3. 認知刺激與大腦訓練

藉由閱讀、記憶遊戲、學習新技能能維持神經連結。

4. 高品質睡眠

深層睡眠是清除 β-澱粉蛋白、修復白質的重要時段。

5. 抗發炎飲食

多攝取蔬果、優質蛋白與 Omega-3,有助降低代謝發炎。

6. 維持社交互動

每週一次社交活動即可減少認知退化風險。

社交活動

七、台北/新北常用協助資源

居住於台北、信義區、新北的民眾可利用以下資源:

✔ 醫學中心與大型醫院

提供神經內科、記憶門診、腦部影像與認知測驗。

✔ 社區健康中心(衛生所)

提供基礎認知篩檢與照護課程。

✔ 樂齡中心/長照據點

提供認知訓練課程與照顧者支持。

霍普金斯診所

位於台北市區,提供大腦健康相關檢測與非侵入式治療

  • 睡眠檢測:了解深層睡眠狀態(深睡眠與白質修復關聯高)
  • 自律神經 HRV 檢測:評估壓力與自律神經平衡
  • 生活管理建議:協助找出影響睡眠、壓力與神經調節的因素

    ※ 此為資訊性內容,不宣稱治療失智症。

常見問題 FAQ

Q1:認知功能障礙能治癒嗎?

A:目前重大神經認知障礙尚未能完全治癒,現有治療以延緩進展、改善生活品質為主。 (Airiti Library+國內外臨床共識)

Q2:我只有偶爾忘東西,是不是認知功能障礙

A:偶爾忘記屬正常老化。但若出現「忘記剛做過的事」「難以完成原本能做的事」「語言或空間感退化」,就應儘早就醫評估。

Q3:要做什麼檢查?

A:可至神經內科或精神科進行認知測驗、MRI、血液檢查等,用於排除可逆原因並確認疾病類型。

Q4:照顧認知功能衰退患者要注意什麼?

A:照顧者需維持自身身心健康,可透過「照顧者訓練課程」、家屬支持團體與社交活動協助患者維持功能。

失智症不是突然發生,而是從灰質萎縮、白質受損一步步累積。透過睡眠改善、運動、營養、認知刺激與早期檢測,可以有效降低風險、延緩退化。越早開始,越能保護大腦健康。

填寫表單
我們將為您安排專員致電說明,提供專業的建議方向。

更多文章

返回頂端